news
發布時間:2025-11-17

近日,一名67歲男性患者因“肺部陰影伴咯血2天”緊急入院,每日咯血量超過100毫升。雖持續接受垂體后葉素泵入治療,效果不佳,患者仍面臨窒息、失血性休克等生命危險。胸部增強CT提示其支氣管動脈與肺動脈均受病灶侵犯,致使臨床處理極為棘手,亟需施行支氣管動脈與肺動脈聯合介入治療。

術中



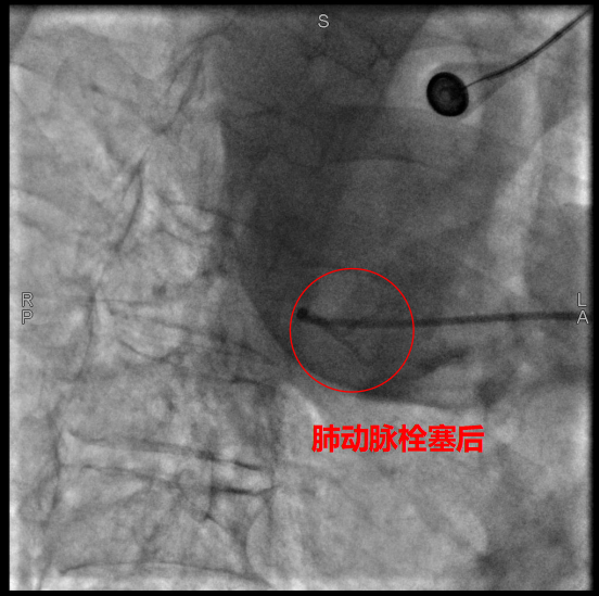
術中,數字減影血管造影(DSA)顯示患者右側支氣管動脈及胸廓內動脈增粗紊亂,末梢血管可見造影劑點狀外溢,明確為主要出血責任血管。團隊采用400?μm栓塞微球及560–710?μm明膠海綿顆粒,對出血動脈遠端實施精準栓塞,實現“末梢血管封堵”;同時,對肺動脈分支血栓相關區域也予以栓塞處理,以全面控制咯血來源。術后造影確認出血完全停止,患者安返病房后未再咯血,胸悶、氣促等癥狀顯著緩解。
本次高難度手術的成功開展,得到了上海東方醫院肺血管介入專家華晶教授的蒞臨指導。華晶教授在術后點評中表示:“璧醫呼吸科介入團隊展現出高超的技術水平,雙栓塞技術的成功應用,標志著在咯血救治方面已達到國內先進水平。”我院呼吸與危重癥醫學科作為新獲批的國家臨床重點專科建設項目(重慶市首個通過咯血中心評審的單位),已建立起完善的血管介入診療體系,常規開展經支氣管動脈栓塞術(BAE)、經支氣管動脈灌注化療(BAI)、肺動脈造影、右心導管檢查、經導管肺動脈溶栓取栓術及血管支架植入等,為患者的健康保駕護航。