肝膽胰外科簡介 

 
服務理念:有時治愈 常常幫助 總是安慰 溫暖百心
基本情況:重慶醫科大學附屬璧山醫院(重慶市璧山區人民醫院)肝膽胰外科集醫療、教學、科研為一體,是重慶市臨床重點???、博士后科研工作站,科室不斷開展學科發展方向,2018年成為璧山區肝膽胰外科醫療質量控制中心,2021年加入肝癌防治體系推進單位,2023獲批重慶市加速康復外科標準病房,2024年學科作為牽頭單位同時成立了“重慶市肥胖與代謝病專科聯盟”和“重慶市膽胰內鏡??坡撁恕?,同年,獲得“重慶市區域肝癌專病臨床診療中心”?,F科室有開放床位47張,年平均手術量超過2000臺,年平均住院人次超過2500人次,年門診量約20000人次,微創手術率>90%。
人才隊伍:醫護人員共有24名,醫師團隊共有10人,主任醫師2人、副主任醫師3人,主治醫師3人,醫師2人;博士2人,碩士研究生5人。護理團隊共14人,其中副主任護師1人,主管護師5人,護師7人;本科率達100%。
特色技術:
一、腹腔鏡微創手術
?    全腹腔鏡肝膽胰手術:涵蓋單孔腹腔鏡膽囊切除、腹腔鏡膽道探查取石、腹腔鏡肝癌切除術、腹腔鏡肝門膽管癌根治術、腹腔鏡胰十二指腸切除術(含血管切除與重建)、腹腔鏡胰體尾切除術、腹腔鏡脾切除+賁門周圍血管離斷術等。以毫米級切口,實現精準治療,創傷更小;僅需3-5個0.5-1cm微小切口,避免傳統開腹手術大切口恢復更快,術后快速康復,住院時間明顯縮短,且并發癥更少。
 
             
單孔腹腔鏡膽囊切除術
      
熒光腹腔鏡肝切除術
 
腹腔鏡胰十二指腸切除術
(A:擴大清掃LPD   B:LPD聯合血管重建)
二、ERCP(內鏡逆行胰膽管造影術)
ERCP(內鏡逆行胰膽管造影術)是膽胰疾病精準內鏡診療技術,具有不開腹、風險小、創傷小、恢復快、住院時間大大縮短的優點,尤其是對年齡大、體弱多病的患者尤為適宜。ERCP主要運用于膽總管結石的取出,以及在經口膽道子鏡的輔助下完成肝內膽管結石的取出。



ERCP取出膽總管結石
對于無法手術切除的膽管或胰腺惡性腫瘤導致的梗阻性黃疸,可以進行ERCP下膽道支架植入,以緩解梗阻性黃疸癥狀,提高患者生活質量。通過光動力、射頻消融等治療,還可以控制腫瘤的生長,提高膽道支架的通暢期,延長患者生存時間。
  
膽道惡性梗阻膽道支架置入
 


膽道腫瘤光動力治療
另外,經口膽道子鏡光纖直視系統(SPYGLASS)是一種電子膽道子鏡,可通過十二指腸鏡到達膽管或胰管內,對病變進行直視觀察,高清高分辨率顯示病變、并精準指導活檢,對于膽胰管狹窄的診斷治療具有重要意義。
  
經口膽道鏡下膽總管碎石
   
經口膽道鏡下膽管組織活檢
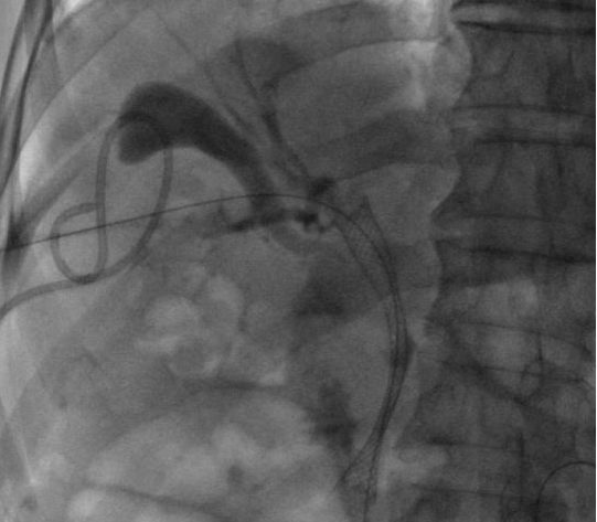
三、肝癌的介入治療
TACE/HAIC:經肝動脈灌注化療栓塞(TACE)、肝動脈內灌注化療藥物(HAIC)是在不開刀暴露腫瘤病灶的情況下,在皮膚上做直徑幾毫米的切口,在影像設備的引導下,導絲和導管插入肝臟腫瘤供血管,注入栓塞劑和化療藥物,使肝臟腫瘤內化療藥物濃度提高,并減少全身的藥物總濃度,達到提高化療效果并減少毒副作用的目的。對于無法手術切除的巨塊型肝癌、肝內多發肝癌病灶、肝癌結節破裂出血有良好的治療效果。
肝癌的介入治療



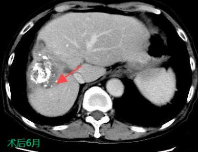
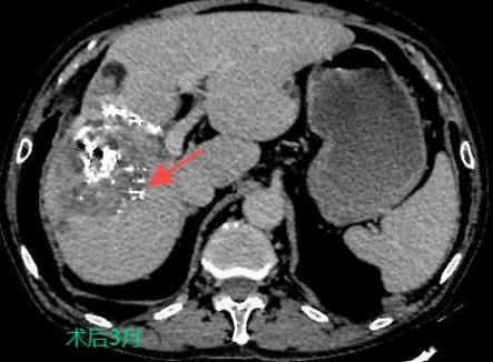
射頻熱消融:被廣泛地用于原發性肝癌的治療,將電極針插入腫瘤通過射頻能量使病灶局部組織產生高溫,凝固腫瘤,近似于外科手術根治性切除的效果。              
射頻熱消融治療
四、肝膽胰腫瘤的多學科精準化綜合性治療 
科室建立了完善的多學科診療(MDT)團隊,由肝膽胰外科、消化內科、腫瘤內科、影像科、病理科等多個學科的專家組成。針對每一位患者的具體情況,團隊成員共同討論,制定個性化、規范化的綜合治療方案,包括手術、化療、放療、靶向治療、免疫治療等多種手段,顯著提高了肝膽胰腫瘤的治療效果。


開展MDT討論
設施設備:科室購置德國STORZ高清電視腹腔鏡、日本OLYMPUS高清電子十二指腸鏡、OLYMPUS高清膽道鏡、全進口膽胰超聲內鏡、Panasonic全數字胃腸機、射頻消融治療儀、TDP治療儀,美國波科SPYGLASS膽胰管鏡、全數字床旁監護儀等滿足臨床工作需要。
 
 
           
美國GE-數字化血管造影系統(DSA)         進口X光數字胃腸機
 
                 
OLYMPUS電子十二指腸鏡                 storz高清腹腔鏡系統
科研教學:科室歷來將學術交流與學科建設作為科室工作的力量源泉和發展基石,科室成員在中國抗衰老促進會健康管理工作委員會、中國醫師協會外科醫師分會、中華醫學會器官移植學分會、重慶市大中華減重與代謝外科聯盟、重慶抗癌協會、重慶市醫學會、重慶市醫師協會等學會擔任副主任委員、副組長、委員;在Frontiers in lmmunology、Sicence Report、World?Journal of Surgical Oncology、Frontiers in oncology等SCI期刊擔任審稿人、編委。參與及承擔國家自然基金、省部級課題多項,在Theranostics、The Lancet Gastroenterology & Hepatology、American Journal of Gastroenterology、Hepatology International、Journal of  Translational Medicine、Journal of Hospital Infection等國際知名外科雜志發表SCI論文十余篇,舉辦國內學術會議多次,在國內、國際會議大會做專題發言交流多次。
科室榮譽:
重慶市區域肝癌專病臨床診療中心
重慶市臨床重點??疲ㄆ胀ㄍ饪疲?/span>
肝癌防治體系推進單位
重慶市膽胰內鏡專科聯盟共同主席
中國醫師協會外科醫師分會內鏡外科專家工作組
重慶市加速康復外科標準病房
一帶一路‘友誼’消化直通車萬里行重慶醫科大學附屬璧山醫院基地
重慶市璧山區普通外科醫療質量控制中心
重慶璧山區肝膽胰外科醫療質量控制中心
璧山區肝膽胰疾病診療聯盟理事長單位
西部肝膽胰疾病診治聯盟成員單位
青年文明號單位
長江上游膽胰內鏡(ERCP)??坡撁顺蓡T單位
2023年度學科建設優秀獎
 

聯系地址:
門診地址:重慶醫科大學附屬璧山醫院門診部3樓普通外科診區——肝膽胰外科
住院部地址:重慶醫科大學附屬璧山醫院住院部13樓A區
聯系電話:門診診區023-41522807、住院部023-41411818