消化內科(內鏡中心)簡介

服務理念:專業、關愛、協作、創新
基本情況:重慶醫科大學附屬璧山醫院(重慶市璧山區人民醫院)消化內科于1995年成立,科室目前開放床位65張,開設有門診部、住院部和消化內鏡中心。科室為重慶市臨床重點??啤㈣瞪絽^消化內科醫療質量控制中心,重慶市璧山區臨床重點??啤⒅貞cIBD聯盟單位、重慶醫科大學附屬第二醫院消化??坡撁顺蓡T單位,入選重慶醫科大學附屬醫院“學科登峰培育計劃”及重慶醫科大學附屬璧山醫院第一批“學科躍升計劃”領軍學科??剖夷觊T診量40000余人次,年住院患者近4000人次,年胃、腸鏡診療25000余人次。

科室查房
人才隊伍:消化內科現有醫護人員44名,其中醫生19名,包括教授1名,副教授1名;擁有重慶市有突出貢獻中青年專家1人,重慶市中青年醫學高端人才1人,重慶市醫學領軍人才1人,重慶市消化內科質量控制中心專家庫成員1人,重慶市區縣醫學頭雁人才2人,“璧山英才”1人;市級專委會主任委員1人,副主委1人,常委1人,委員6人。博士生導師1名,碩士生導師2名;主任醫師2名,副主任醫師5名;博士7人(含在職博士生3人),碩士9人(含在職碩士生1人)。
特色技術:科室在萎縮性胃炎及消化道早癌、非酒精性脂肪性肝病、胃食管反流病、慢性肝病等常見多發病以及急性上消化道大出血、重癥急性胰腺炎等急危重癥和疑難雜癥的治療方面具有鮮明特色。消化內鏡中心常規開展了無痛電子胃腸鏡檢查、超聲胃鏡檢查、膠囊內鏡檢查、胃鏡下取異物、食道支架植入術、內鏡下胃造瘺術、食管-胃底靜脈曲張破裂出血套扎術及組織膠注射、內鏡黏膜下剝離術(ESD)、內鏡下全層切除術(EFTR)、經內鏡黏膜下食道腫瘤切除術(STER)、內痔硬化及套扎微創治療等內鏡診治技術,新開展內鏡超聲引導下細針穿刺活檢(EUS-FNA)、抗反流黏膜切除術(ARMS)等新技術新項目10余項,內鏡技術實力處于渝西領先水平。


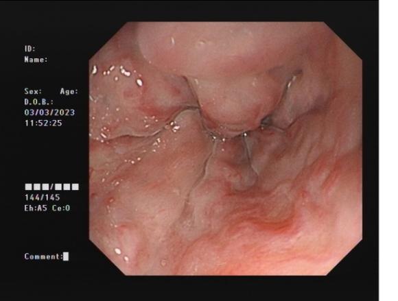
食管靜脈曲張 內鏡下套扎術
食管靜脈曲張套扎術(EVL):治療食管靜脈曲張、胃底靜脈曲張破裂出血、藥物止血無效者;既往有食管靜脈曲張破裂出血史者預防再出血。


胃底靜脈曲張 內鏡下組織膠粘合術
胃底靜脈曲張組織膠粘合術(HI):治療胃底食管靜脈曲張,防止靜脈曲張破裂出血,降低因肝硬化導致胃底靜脈曲張破裂引起的致命風險。


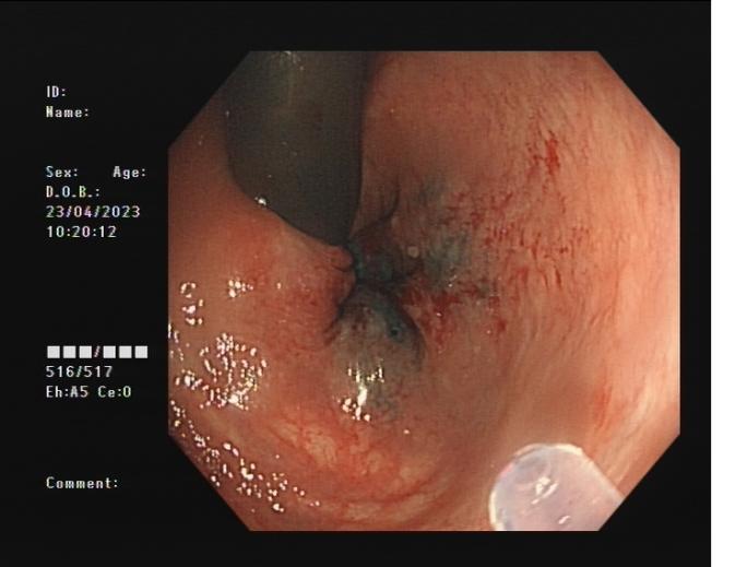
直腸側向發育性腫瘤 內鏡下黏膜下剝離術后創面
內鏡下黏膜剝離術(ESD):治療巨大平坦息肉,早期癌及癌前病變,黏膜下腫瘤等。



胃底間質瘤 內鏡下全層切除術后創面 切除后標本
內鏡下全層切除術(EFTR):治療消化道黏膜下腫瘤(最主要):起源于固有肌層深層、部分腔外生長、與漿膜層密不可分;少部分抬舉征陰性消化道癌前病變和早期癌;少部分困難解剖部位結腸病變(如結腸憩室內腺瘤)等。


內痔 內鏡下內痔硬化治療
內鏡下內痔硬化術:治療I-Ⅲ度內痔伴有內痔相關癥狀;I~Ⅲ級內痔飲食及藥物治療無效;內痔手術后復發,肛門反復手術后不能再次手術;恐懼外科手術,不愿意接受手術治療;高齡、高血壓、糖尿病和嚴重的系統性疾病,不能耐受外科手術等。


內痔 內鏡下套扎術
內鏡下內痔套扎術:治療內痔并脫出和(或)出血等癥狀,包括II、Ⅲ度內痔等。



食管黏膜下腫瘤 內鏡經黏膜下隧道腫瘤切除術 切除后標本
內鏡經黏膜下隧道腫瘤切除術(STER):在內鏡引導下經過黏膜下隧道切除腫瘤,同時還能在術后保證人體消化道完整性,進而達到減少出現繼發性感染,以及消化道瘺等疾病的目的。


發現內源性低回聲病灶 實時超聲引導下對病灶的細針穿刺活檢
內鏡超聲引導下細針穿刺抽吸術(EUS-FNA):治療對于性質不明的胰腺實性占位性病變;對于經CTMRI或 EUS 等檢查不能確定性質的胰腺囊性病變;對于消化道毗鄰組織中性質不明的占位性病變或淋巴結腫大(如縱隔、上腹部等部位病變);長徑>2cm需要手術切除但具有高手術切除風險,或不能切除的消化道上皮下腫瘤的鑒別診斷。
設備設施:擁有4臺奧林巴斯CV-290電子胃腸鏡主機,14條CV-290電子胃鏡,10條CV-290電子腸鏡,1臺金山SC100膠囊式內窺鏡系統,1臺愛爾博VIO300S高頻電外科設備,1臺金山JSDD-Q2高頻電外科設備,1臺富士SP702超聲系統,1臺奧林巴斯超聲內鏡系統,1臺丁田MACHIDA胃鏡清洗消毒系統,1臺丁田ACHIDA胃鏡清洗消毒系統,1臺丁田ACHIDA腸鏡清洗消毒系統,1臺丁田NQX-MD900全自動內鏡清洗消毒機源。
科研教學:近5年累計主持/主研國家級、省部級、廳局級科研項目20余項;累計科研經費超400萬;發表論文40余篇,其中SCI論文近20篇??剖议L期承擔重慶醫科大學、重慶醫藥高等??茖W校、三峽醫藥高等??茖W校臨床班的理論授課及住培醫師的臨床帶教工作,年帶教研究生、規培生、進修生、實習生200余人次,科室多名醫生、護士獲評優秀住培指導醫師、優秀護培指導老師、優秀臨床實習帶教老師、優秀護理實習帶教老師等榮譽。
科室榮譽:重慶市優質護理服務先進病房、2021-2022學年度教學先進科室、2023年度學科建設優秀獎、2023年度醫療質量管理獎、2023年度科技創新先進科室、2024年度科技創新先進科室、2024年度醫療質量管理獎、2024年度綜合目標管理獎。












聯系地址:
門診地址:重慶醫科大學附屬璧山醫院門診部2樓消化內科/內鏡中心診區
住院部地址:重慶醫科大學附屬璧山醫院住院部13樓B區
聯系電話:門診診區023-41889302 、住院023-41411969
內鏡中心023-41411837