news
發布時間:2025-05-21
近日,重慶醫科大學附屬璧山醫院(重慶市璧山區人民醫院)呼吸與危重癥醫學科團隊成功為一名晚期肺癌合并大氣道狹窄的患者實施經硬質支氣管鏡下Y型金屬覆膜支架植入術。術后患者呼吸困難顯著緩解,復查顯示氣道恢復通暢。
72歲的程爺爺,因“確診肺癌5年余,咳嗽、咳痰伴間斷咯血兩個月”入院。檢查發現其左肺鱗癌已進展至Ⅳ期,腫瘤侵犯導致氣管中下段及隆突區域形成約4.5厘米的極重度狹窄,嚴重影響呼吸功能,同時患者合并心房顫動、心包積液等多系統并發癥,治療難度極高。

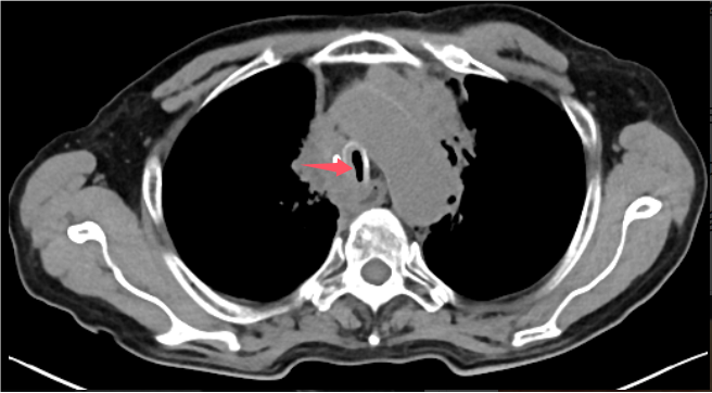
術前胸部CT見患者氣道狹窄,呈一縫隙

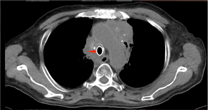
術后復查胸部CT見氣道通暢

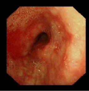
術前氣管重度狹窄

術中植入金屬覆膜支架
針對患者氣道狹窄危象,呼吸與危重癥醫學科聯合麻醉科、醫學影像科等多學科團隊制定個性化方案。術中采用全身麻醉聯合喉罩通氣,通過硬質支氣管鏡與軟鏡協同操作,在狹窄段實施腫瘤冷凍切除,隨后精準植入Y型金屬覆膜支架。手術全程動態監測生命體征,最終支架釋放位置理想,管腔擴張充分。術后復查顯示氣道通暢性恢復,患者血氧飽和度穩定在93%-97%。

呼吸與危重癥醫學科副主任(主持工作)王開金副主任醫師介紹:“氣道支架植入術是在支氣管鏡的輔助下,通過將管狀的氣管支架支撐物送入狹窄處,支架擴張,使氣道通暢,從而緩解呼吸困難癥狀的一種氣道介入技術。此次手術的成功得益于術前三維影像精準評估、術中多鏡聯合的微創技術以及圍術期多學科協作管理,為晚期腫瘤合并氣道梗阻患者提供了重要治療選擇。”
我院呼吸與危重癥醫學科長期深耕呼吸危重癥與介入診療領域,配備國際先進硬質支氣管鏡、冷凍治療等設備,近年來累計完成經氣道介入、經皮腫瘤消融介入、經血管介入、經胸腔介入治療手術近千余例。科室通過常態化多學科協作機制,持續提升急危重癥救治水平,致力于為患者提供更精準、安全的診療服務。