news
發布時間:2025-03-25
近日,重慶醫科大學附屬璧山醫院(重慶市璧山區人民醫院)兒科歷經40余天的精心治療與護理,成功點亮了一名因肺部重度感染并發肺膿腫、病情極其危重的腦癱患兒的“生命之光”。
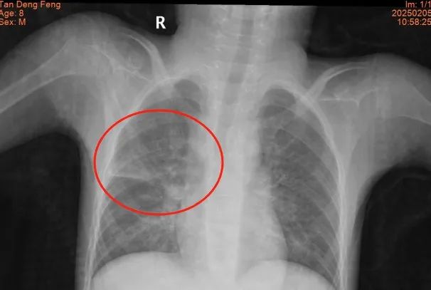
患兒小小,患有腦癱與藥物難治性癲癇,重度營養不良,7歲體重僅10公斤,因長期臥床導致肺部感染并發肺膿腫,入院時情況極為復雜,胸部CT顯示肺膿腫、肺炎合并胸腔積液,高熱不退、呼吸困難,驚厥頻發,治療難度極大,家屬幾近絕望,甚至動過放棄治療的念頭。
接診后,我院兒科團隊第一時間組織呼吸與危重癥醫學科、藥學部等多學科專家會診,全面評估患兒病情后,制定了以抗感染、控制驚厥發作為核心,輔以營養支持和康復治療的個性化治療方案。治療過程中,團隊查閱了大量國內外文獻,結合患兒的具體情況,創新性地采用了一系列治療手段,包括輔助排痰和肺部物理治療等,逐步改善了患兒的癥狀。經過40余天的全力救治,患兒的感染得到有效控制,體溫恢復正常,呼吸功能顯著改善,肺部感染及膿腫完全吸收,最終順利出院。出院當天,患兒家屬激動地表示:“是醫護人員的堅持和專業治療給了孩子第二次生命!”


這一案例不僅為腦癱患兒的治療提供了寶貴經驗,也展現了我院多學科協作的專業實力。未來,我院兒科將繼續秉持“以患者為中心”的理念,為更多危重患兒的健康保駕護航。