news
發布時間:2023-07-18
近日,重慶醫科大學附屬璧山醫院(重慶市璧山區人民醫院)骨科成功為一位年輕患者實施“踝關節全內鏡下清理、松解術”,解決了其因足踝慢性疼痛所帶來的煩惱。

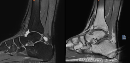
術前MRI顯示左踝副骨綜合征
一位19歲大學生,由于左踝長期疼痛,輾轉多家醫院癥狀未緩解,嚴重影響其學習生活,經人介紹來到我院骨科治療。骨科副主任(主持工作)彭李華博士為其進行了全面專業的檢查,發現為三角籽骨綜合癥。完善術前檢查及準備后,彭李華博士為患者行“踝關節全內鏡下清理、松解術”。患者對手術效果滿意,已順利出院。

踝關節鏡下手術是一種微創治療技術,其只有2-3個1cm左右的手術切口,在關節內鏡直視下進行手術操作,可以對踝關節進行全方位檢查,更直觀地發現問題、解決問題。相較于傳統手術,其具有創傷小、出血少、恢復快、美觀等優點。

術中C臂定位病灶位置

該手術的開展,標志著我院骨科在運動醫學領域邁上了一個新臺階,實現了踝關節鏡全內鏡下手術從“0”到“1”的突破。